Advertisement

World’s first case of Killer Plant fungus reported in Kolkata, here's all you need to know

The patient visited Apollo Multispecialty Hospital in Kolkata after experiencing a cough, hoarse voice, exhaustion and several other issues for three months.

Latest News
World’s first case of Killer Plant fungus reported in Kolkata, here's all you need to know
Add DNA as a Preferred Source

A plant mycologist in Kolkata has been identified as the first human case of a fungal illness that generally affects plants. This demonstrates how plant illnesses can transfer to people when in close contact with plant fungi, according to the researchers.

The unnamed patient, a 61-year-old man, visited Apollo Multispecialty Hospitals in Kolkata, West Bengal after experiencing hoarseness, a cough, exhaustion, and swallowing issues for three months, according to the doctors who are following this case study, who wrote in a report that was published in the journal Medical Mycology Case Reports.

What is Chondrostereum purpureum?
Chondrostereum purpureum is recognised as a lethal infection, which was previously limited to plants, causing silver leaf disease in the flora, most frequently in rose species.

The illness progresses and frequently ends in death. The common name derives from the leaves on the infected branches gradually turning silver. Airborne spores that settle on recently exposed sapwood are what cause it to spread. For this reason, plants are clipped in the summer, when the presence of spores is least expected.

First case reported of Chondrostereum purpureum:
The 61-year-old patient had no history of diabetes, HIV infection, renal disease, any chronic disease, immunosuppressive drug intake, or trauma. The patient, a plant mycologist by profession, had been working with decaying material, mushrooms, and various plant fungi for a long time as part of his research activities.

“This case highlights the potential of environmental plant fungi to cause disease in humans and stresses the importance of molecular techniques to identify the causative fungal species,” the authors of the medical report said.

“Global warming, alteration of ecosystem, international travel and commerce, and unplanned urbanization may be responsible for emergence of not only newer fungal infection but also various zoonotic viral and bacterial diseases,” the report added.

The researchers, Dr Soma Dutta and Dr Ujjwayini Ray of the Consultant Apollo Multispecialty Hospitals, Kolkata, further explained that the most susceptible hosts to fungal infection are those with weakened immune systems, however, reports of fungal infections in healthy and immune-competent people are also common. In this case, exposure to a big inoculum may be linked to the illnesses.

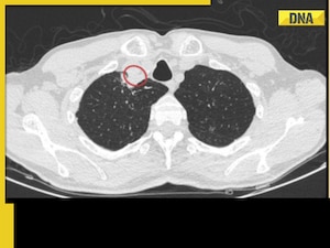
A "paratracheal abscess" in the man's neck, which was obstructing his airway and causing the symptoms, was discovered by a CT scan. He was given a daily antifungal medication prescription once the pus was drained.

According to reports, he overcame the infection and it hasn't returned since the treatment was given.

“This case report demonstrates the crossover of plant pathogen into humans when working in close contact with plant fungi,” the doctors issued a warning in the study.

(Also Read: LPG gets cheaper by Rs 92: Check gas cylinder prices in Delhi, Noida, Gurgaon, Lucknow, Jaipur, Mumbai)

 

Find your daily dose of All Latest News including Sports NewsEntertainment NewsLifestyle News, explainers & more. Stay updated, Stay informed- Follow DNA on WhatsApp.
Read More
Advertisement
Advertisement
Advertisement