Who is Muzammil Shakil? J-K doctor who hid 350 kg explosives in Faridabad house
Sunil Mittal's Bharti Airtel removes Rs 189 plan, cheapest recharge now costs Rs...
Suresh Raina wants Mumbai Indians to release star all-rounder ahead of IPL 2026, his name is...
New sports city to replace Delhi’s iconic Jawahar Lal Nehru Stadium, it will feature...
Dharmendra's condition gets critical at Breach Candy Hospital, here's his latest health update
'Not at our target': Gautam Gambhir makes shocking claims ahead of ICC T20I World Cup 2026
Will Asim Munir be Pakistan Army chief for his life? Will he become de-facto ruler?
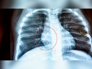
MUMBAI
The parents waited for a week for the "thread" to pass and then consulted the doctors at the Parel hospital.
When seven-month-old Ariba Khan suffered from a cough and fever, her parents took her to the local physician thinking it was a routine illness. When the X-Ray showed a wire strand in her right bronchus, they thought she had swallowed a thread and the doctor advised them to wait till she passed it naturally through her stools.
But the doctors at Bai Jerbai Wadia Hospital in Parel were surprised when they fished out a LED bulb that the Chiplun-resident had swallowed while playing with a toy cell phone.
"Ariba was given antibiotics and steroids for three days to clear the infection and granulation of airway which blocked the bulb," said Dr Divya Prabhat, head of the ENT Department. "Then, a bronchoscopy was performed and within two minutes, the foreign body was removed using forceps. To our surprise, it was a 2 cm LED bulb."
The parents waited for a week for the "thread" to pass and then consulted the doctors at the Parel hospital.
"We inserted bronchoscope through her mouth without any cut or stitches," says Dr Prabhat.